What To Do If Your Horse Steps on a Nail (Street Nail Emergency Guide)

What Is a “Street Nail” in Horses?

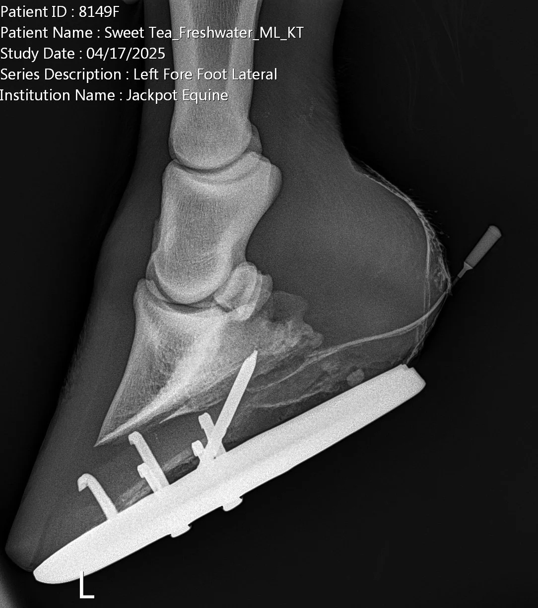
A “street nail” refers to any sharp object—like a nail or screw—that punctures the bottom of a horse’s hoof. These injuries may look minor but are considered true veterinary emergencies.

Why a Nail in the Hoof Is So Serious

Inside your horse’s hoof are vital structures including:

  • Bones (coffin bone)

  • Tendons (deep digital flexor tendon)

  • Joints

  • Ligaments and soft tissues

A puncture wound can introduce bacteria deep into these structures, leading to infection, lameness, or even permanent damage.

The location and depth of the nail determine how serious the injury is—especially if it penetrates the frog (the soft triangular part of the hoof), where critical structures are closer to the surface.

What To Do Immediately (Step-by-Step)

If you discover a nail in your horse’s hoof:

1. DO NOT REMOVE THE NAIL

This is the most important rule.
Leaving the nail in place allows your veterinarian to:

  • Identify the exact entry point

  • Take radiographs (X-rays)

  • Determine which structures may be affected

2. Call Your Veterinarian Immediately

Time matters. Prompt treatment significantly improves outcomes.

3. Keep Your Horse Still and Calm

Movement can drive the nail deeper or worsen internal damage.

4. Follow Veterinary Instructions

Your vet may:

  • Perform X-rays before removing the nail

  • Administer antibiotics and pain relief

  • Recommend a tetanus booster

  • Clean and bandage the hoof

What Happens If You Pull the Nail Out Too Soon?

Removing the nail prematurely can:

  • Hide the path of the wound

  • Make it harder to assess damage

  • Delay proper treatment

  • Increase the risk of infection

Once removed, the puncture tract can be difficult to locate due to the hoof’s structure.

Signs Your Horse May Have a Hoof Puncture

  • Sudden lameness

  • Heat or swelling in the hoof or lower limb

  • Pain when bearing weight

  • Visible nail or puncture wound

Even if symptoms seem mild, never assume the injury is minor.

Prevention Tips

  • Regularly inspect stalls and turnout areas for nails or debris

  • Maintain proper hoof care and shoeing

  • Check hooves daily

Final Takeaway

A nail in your horse’s hoof is always an emergency.
👉 Leave it in. Call your vet. Act fast.

Quick action can mean the difference between a simple recovery and a life-threatening complication.

📞 Need help fast? Call 520-999-3887

Next
Next

Pigeon Fever in Tucson Horses: Signs, Limb Swelling, Treatment & Prevention